
她的小说不以故事取胜,但凭靠对外在世界和个人心灵的敏锐体察和聪颖感悟,细细密密地串起了一串串梦想的文字珠链,便营造出了一个个五光十色、美轮美奂的奇景。

在眼科领域,息肉状脉络膜血管病变(PCV)作为一种特殊类型的眼部疾病,其发病机制和病变分布规律一直是研究的重点。近期,中山大学中山眼科中心的研究团队运用图湃40万速度全域扫频OCTA技术 —— 北溟·鲲,在《Translational Vision Science & Technology》发表了题为《Choroidal Venous Architecture and Polypoidal Lesion Distribution in Subtypes of Polypoidal Choroidal Vasculopathy Using Widefield Imaging》(利用广角成像研究息肉状脉络膜血管病变亚型的脉络膜静脉结构和息肉状病灶分布)一项回顾性研究论文(第一作者:张怡宁;通讯作者:文峰;其他作者:李妙玲、何桂琴、甘雨虹、庄雪楠、陈雪琳、蒲家欣、苏永悦、郝昕蕾),为我们深入理解 PCV 的发病机制提供了全新视角。

息肉状脉络膜血管病变(PCV)被归为新生血管性年龄相关性黄斑变性(nAMD)的一组亚型,但其归属 nAMD 或厚脉络膜疾病(PCD)谱系仍存争议。PCD以脉络膜增厚、视网膜色素上皮改变为特征,脉络膜血管高通透性(CVH)作为其标志,在 34.7%-59.3% 的PCV患者中可见,提示脉络膜血管重塑可能参与了PCV的发病机制。伴有CVH的PCV患者脉络膜更厚、在接受玻璃体腔内抗血管内皮生长因子(抗 VEGF)治疗预后更差。部分PCV病例发病机制与典型AMD不同,可能与涡静脉(VV)异常相关。多项研究显示,不对称优势VV可能是PCD的易感因素。但是,PCV眼中优势VV的分布及其与息肉状病灶空间关系,以及伴有与不伴有CVH的PCV眼在优势VV和息肉状病灶分布方面的差异尚不清楚。本研究将通过广角多模态成像技术整合静脉解剖与病灶分布,探寻PCV发病机制中的解剖学和病理学因素。
研究对象:本研究为回顾性观察研究,共纳入58名初诊、未经治疗的PCV患者(58只眼)。所有患者均经WF-ICGA和WF-OCTA检查确诊,诊断由两名经验丰富的眼科医生独立确认。研究同时纳入患者的对侧未受累眼作为对照,制定了严格的纳入和排除标准,排除了屈光介质混浊、眼底大出血、有眼内手术史或其他视网膜疾病等情况的患者。
检查与图像分析:所有参与者均接受了全面的眼科检查,包括最佳矫正视力检测、眼压测量、裂隙灯显微镜检查、眼底检查、荧光素血管造影(FA)、WF-ICGA、结构OCT以及新开发的图湃全域扫频OCTA对所有参与者进行成像,其激光波长为 1060nm,采集速度为400,000A-Scan/S,带宽为 100nm,组织中的轴向和横向分辨率分别为3.8µM和10µM。扫描范围为24mm×20mm,深度为6mm,扫描时间小于15秒。研究团队基于WF-ICGA和WF-OCTA图像识别优势涡静脉(VV)、脉络膜分水岭区(CWZs)的数量和位置,记录息肉状病灶的分布情况。根据CVH状态,将PCV眼分为CVH阳性组(32只眼)和CVH阴性组(26只眼),对比分析PCV眼与对侧未受累眼、CVH阳性与阴性眼之间的差异。
统计分析:使用SPSS Statistics 26.0软件进行统计分析。采用组内相关系数(ICC)评估两名图像检查者对脉络膜参数测量的一致性,描述性统计以均值±标准差、中位数(四分位数范围)或数量(百分比)表示。两组间连续变量比较采用独立t检验,CVH阳性与阴性PCV眼比较采用Mann-Whitney U检验和Pearson's χ²检验,受累眼与未受累眼比较采用 Wilcoxon符号秩检验和Fisher精确检验,P<0.05为差异具有统计学意义。

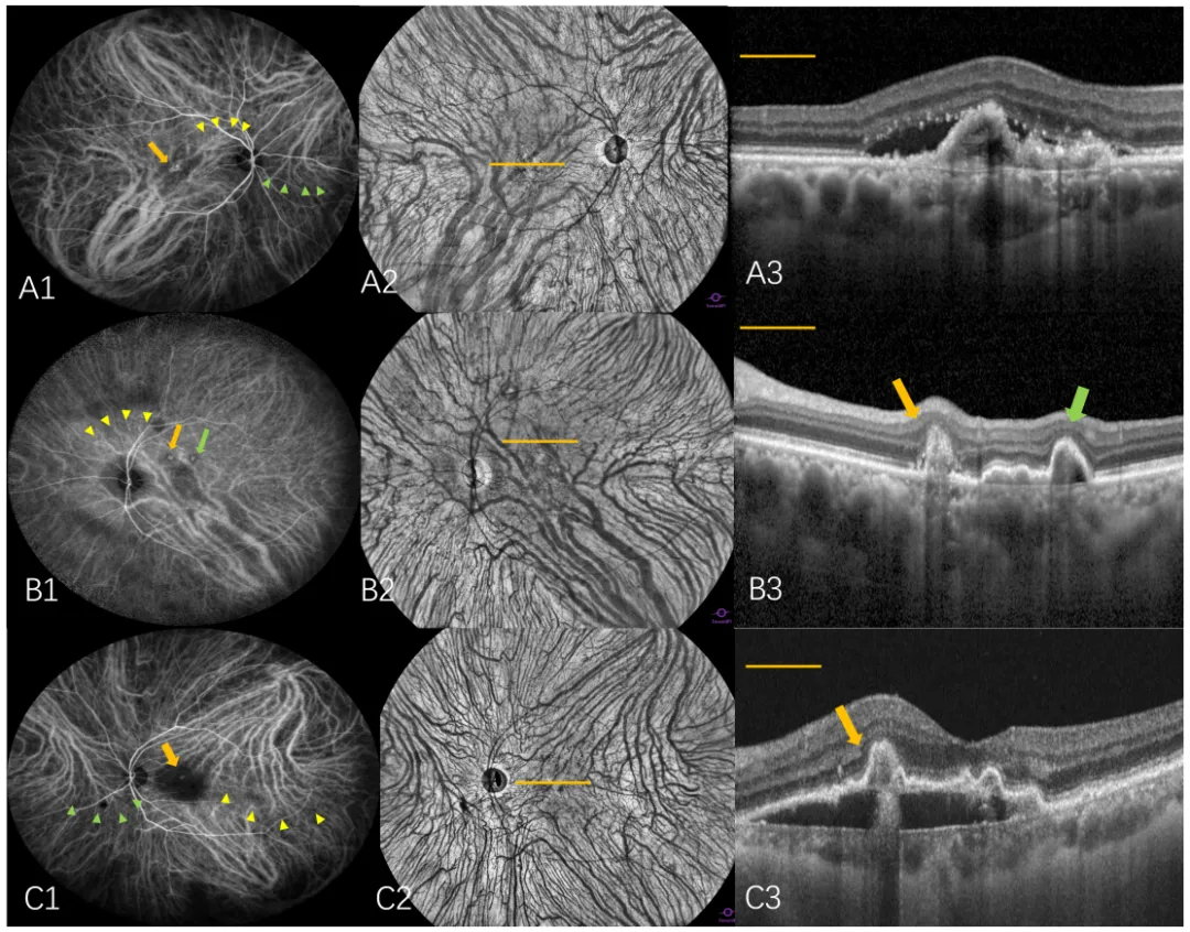
图1. 通过使用WF-ICGA和en face OCTA可视化非对称性优势VV和优势VV区域内的息肉状病灶。(A1–A3) 在PCV眼中上方鼻侧(SN)和下方颞侧(IT)区域观察到两个优势VV。下方颞侧VV远端(黄色箭头)横跨黄斑区,上方鼻侧VV末端(绿色箭头)横跨视盘。一处息肉状病灶(橙色箭头)位于下方颞侧(IT)优势VV区域内,被归类为1型MNV。(B1–B3) 在 PCV 眼的下方颞侧(IT)区域存在一个优势VV,其远端(黄色箭头)横跨黄斑区。两个息肉状病灶分布在下方颞侧(IT)优势VV区域内,尽管其形态学表现提示位于上方颞侧(ST)象限,但被归类为位于下方颞侧(IT)象限。一处息肉状病灶被归类为混合1型和2型MNV(橙色箭头),另一处病灶被归类为1型MNV(绿色箭头)。(C1–C3) 在 PCV 眼中上方鼻侧(SN)和上方颞侧(ST)区域识别出两个优势 VV。上方颞侧(ST)优势 VV 远端(黄色箭头)横跨黄斑区,上方鼻侧(SN)优势 VV 末端(绿色箭头)横跨视盘。 一处息肉状病灶(橙色箭头)位于上方颞侧(ST)优势VV区域内,并被归类为位于上方颞侧(ST)象限内。C3 处显示的息肉状病灶(黄色箭头)被归类为混合型1型和2型MNV。

图2. 脉络膜静脉引流模式与息肉状病灶位置示意图。(A1 ,A2)在颞上象限(ST)可见一条优势涡静脉(VV),其远端横跨黄斑中心凹。息肉状病灶位于颞上象限(ST)优势VV 区域内。(B1 ,B2)在 PCV 眼的颞下象限(IT)和鼻上象限(SN)发现两条优势VV。颞下象限(IT )VV的末端横跨黄斑中心凹,而鼻上象限(SN)VV的末端横跨视盘中心,息肉状病灶位于颞下象限(IT)VV区域内。(C1 ,C2)在 PCV 眼的颞下象限(IT)可见一条优势VV,其远端横跨黄斑中心凹。息肉状病灶位于垂直脉络膜分水区(CWZ)内。(D1 ,D2)对称分布的脉络膜静脉引流路径显示水平和垂直方向的CWZs。水平 CWZ 穿过黄斑区和视盘,垂直 CWZ 则贯穿视盘乳头。根据解剖位置判断,息肉状病灶位于颞上象限(ST象限)。(E1 ,E2)对称分布的脉络膜静脉引流路径凸显了水平与垂直CWZs的特征。该息肉状病灶位于水平 CWZ 范围内。
基线特征:58例PCV患者平均年龄为64.3±8.5岁,男性38例(65.5%)。其中50例为单侧 PCV,4例为双侧 PCV。58只PCV眼中,CVH阳性32只眼(54.2%),与年龄相关的晚期 ICGA 散在低荧光斑(ASHS - LIA)阳性31只眼(53.4%);27只眼(46.6%)为1型黄斑新生血管(MNV),31只眼(53.4%)为1型与2型混合MNV。息肉状病灶形态以簇状最常见(51.7%),其次为孤立性(31.0%)和葡萄状(17.2%)。
脉络膜静脉引流模式与病灶分布:89.7%(52/58)的PCV眼脉络膜静脉引流路径呈不对称分布,优势涡静脉多见于颞上象限(37.3%),其次为颞下象限(33.9%)、鼻上象限(22.0%)和鼻下象限(6.8%)。156 个息肉状病灶中,71.8%(112/156)位于优势涡静脉所在象限,且多分布在颞上象限(46.1%)和颞下象限(34.0%),28个(17.9%)位于水平分水岭区。
CVH阳性与阴性PCV眼的差异:两组患者在年龄、性别、最佳矫正视力、BNN面积、息肉状病灶数量和形态等方面无显著差异,但CVH阳性组的中心凹下脉络膜厚度(SFCT)、脉络膜血管指数(CVI)和单位面积脉络膜血管体积(CVV/a)显著高于 CVH 阴性组(P 分别为 0.001、0.004 和 0.021),ASHS - LIA 发生率显著低于CVH阴性组(P = 0.001),且混合1型与2型MNV比例更高(P = 0.01)。病灶分布方面,CVH阳性组位于分水岭区的病灶比例(23.9%)显著高于CVH阴性组(10.3%)(P = 0.029),两组优势涡静脉的数量和位置无显著差异。
单侧PCV受累眼与未受累眼的差异:50只单侧 PCV 患者的受累 PCV眼与未受累对侧眼比较,PCV受累眼的优势涡静脉数量显著多于未受累眼(P = 0.001),且颞侧优势涡静脉比例更高(68.4% vs. 51.8%,P = 0.039)。


表2.受累眼与未累及对侧眼脉络膜静脉引流模式的比较
研究发现,PCV眼的优势涡静脉数量更多,且颞侧优势涡静脉更常见,息肉状病灶多位于优势涡静脉所在象限,提示脉络膜静脉解剖结构与 PCV 病灶定位密切相关。颞侧优势涡静脉内的剪切应力升高可能导致血管内皮损伤,进而引发异常血管重塑,成为PCV病灶形成的重要解剖学易感因素。CVH虽未改变优势涡静脉的分布特征,但显著影响病灶的分布模式,CVH阳性组更多病灶位于分水岭区。分水岭区作为脉络膜血管灌注的脆弱区域, 侧支循环有限、血流灌注减少,易发生缺血缺氧,而CVH可能通过引发血浆渗漏加重这一病理微环境,诱发缺氧、VEGF上调和炎症反应,最终导致血管损伤和息肉状病灶形成。这些发现表明,脉络膜静脉解剖的先天性或获得性改变与CVH驱动的病理变化可能共同影响PCV病灶的形成和定位,凸显了解剖学易感性与病理过程在PCV发病机制中的相互作用。
本研究为 PCV 的发病机制提供了新的见解,PCV存在明显异质性(如CVH阳性/阴性、不同MNV类型),传统技术难以精准区分亚型差异,而 WF-OCTA 通过“结构+功能+量化”的多维度成像,为PCV亚型分型提供了核心工具。优势涡静脉特征可作为高危患者个性化随访方案的生物标志物,为临床风险分级和治疗策略制定提供参考。未来,需在不同种族人群中验证这些解剖学标志物,进一步开展纵向研究探讨脉络膜血管改变与治疗后息肉状病灶变化的关联,为PCV的精准防治提供更坚实的依据。

第一作者


张怡宁
中山大学中山眼科中心专业型博士在读,导师为文峰教授,主要研究方向为眼底病及多模式影像学,以第一作者身份在The British journal of Ophthalmology等SCI期刊发表论文。
通讯作者


文峰
中山大学中山眼科中心教授,主任医师,博士生导师;历任眼底内科主任、视觉生理室主任。兼任中国眼微循环眼影像学组主委、国家卫健委一带一路眼科联盟副主席、世界中医药联合会眼科专委会副会长;在PCV、PIC及眼底影像的临床研究上具有创新性成果;担任人民卫生出版社出版的“图说眼科系列”丛书总主编,承担国家973项目及国家自然科学基金项目;科研成果“国人PCV临床与基础系列研究”遴选为近5年中国眼底病十大进展(2014年);以第一作者及通讯作者发表SCI论文100余篇;“IOVS”等杂志编委;以第一完成人荣获教育部科技进步一等奖。专注于眼底病的诊断与治疗,尤其在黄斑疾病的诊治、眼底影像与视觉电生理临床释义方面具有深厚造诣。

新闻编辑:周莉萍,图湃医疗
内容校对:龚露,图湃医疗